Inteligência artificial vira recurso para agilizar exames de AVC

A solução já é oferecida em sete hospitais públicos de São Paulo e um de Goiás

0
543

Ferramentas de inteligência artificial têm ajudado a acelerar o diagnóstico de AVC (acidente vascular cerebral) e otimizar o tratamento de pacientes que ficaram com sequelas.

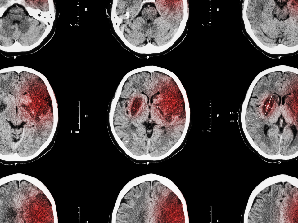
Esse é o caso de um software, desenvolvido pela empresa israelense Aidoc, que é capaz de identificar com mais precisão derrames do tipo hemorrágico -quando uma artéria se rompe, causando sangramento no cérebro.

O programa usa um algoritmo para analisar o resultado de tomografias e destaca áreas com sangramento que podem passar despercebidas pelo olho humano.

A solução já é oferecida em sete hospitais públicos de São Paulo e um de Goiás, por meio de uma parceria da Aidoc com a Fidi (Fundação Instituto de Pesquisa e Estudo de Diagnóstico por Imagem), organização social que presta serviços para o SUS.

Igor Santos, médico e superintendente de inovação da Fidi, explica que o resultado de uma tomografia pode demorar até duas horas para chegar ao médico que a solicitou. Isso se deve ao tempo que os radiologistas levam para analisar a imagem. Por meio da nova solução, a espera pode ser reduzida para até 30 minutos.

Os arquivos do exame são armazenados na nuvem, onde as imagens são analisadas. Ao identificar o derrame, o resultado é disparado para o médico do paciente, junto com informações como data, horário, nome e idade.

Tudo é feito seguindo as regras da LGPD (Lei Geral de Proteção de Dados), que regula o uso de informações pessoais nos meios digitais.
Desde que o programa começou a ser testado, em 2018, já foram analisados exames de mais de 100 mil pacientes.

A tecnologia também permite detectar outros tipos de doenças, como tumores cerebrais. “É um algoritmo especialista em sangramentos no crânio”, explica Santos.

Com dores de cabeça e dificuldade para sentir as pernas, Antonio Valentim da Silva, 71, deu entrada no Hospital Mandaqui, na zona norte de São Paulo, no dia 7 de setembro. Era um AVC. O paciente conseguiu ser diagnosticado rapidamente e foi conduzido à UTI graças à tecnologia. Hoje, sem sequelas, diz que se sente bem.

“O diagnóstico rápido é superimportante. Tempo significa viabilidade de células do sistema nervoso. Se você demorar, [a intervenção] não vai adiantar”, diz José Krieger, professor do Departamento de Cardiopneumologia da Faculdade de Medicina da USP (Universidade de São Paulo).

Ele faz parte do C4IA (Centro de Inteligência Artificial), que está desenvolvendo um algoritmo para melhorar o desempenho da tomografia na identificação do AVC. O projeto, que teve início em 2020, é resultado de uma parceria entre USP, Fapesp (Fundação de Amparo à Pesquisa do Estado de São Paulo) e IBM.

A tecnologia quer tornar a tomografia tão precisa quanto a ressonância magnética -mais cara e demorada. Segundo Krieger, enquanto a primeira leva cerca de 5 minutos para ser feita, a segunda demora de 30 a 40 minutos.

Com o novo algoritmo, seria possível usar o exame mais simples para localizar a lesão com precisão e caracterizar o tipo de AVC: hemorrágico ou isquêmico, quando há obstrução de uma artéria.

Marco Antonio Gutierrez, engenheiro e um dos pesquisadores do C4IA, explica que a ressonância consegue identificar a lesão mais precocemente do que a tomografia. A proposta do projeto é tornar o segundo método tão eficaz quanto o primeiro.

“Com o algoritmo, poderíamos, com um exame mais simples, detectar um AVC isquêmico ou hemorrágico logo no início”, diz Gutierrez.
Para construir a ferramenta, os pesquisadores vão usar técnicas de inteligência artificial e comparar resultados de milhares de exames.

Cada paciente participante do estudo deve fazer uma tomografia e uma ressonância magnética. O objetivo é que o algoritmo reconheça padrões entre os dois métodos de diagnóstico. O projeto está em fase inicial e não há previsão de término.

Outra iniciativa, também encabeçada por pesquisadores da USP -mas do campus de São Carlos (interior do estado)-, criou um robô para ajudar na recuperação de pacientes que ficaram com restrições de movimento nos membros inferiores.

Feito de ligas de alumínio, o protótipo, que é acoplado junto à cintura e às pernas, mede a força que a pessoa está fazendo para se mexer. Se ela for suficiente para completar o movimento, o robô permanece parado; caso o paciente não consiga terminar de se locomover, a máquina ajuda a impulsioná-lo.

“O robô tem sensores nas articulações, com os quais conseguimos medir se a pessoa começou a fazer o movimento e em que intensidade ela fez”, diz Adriano Siqueira, professor de engenharia mecânica e pesquisador da USP.

Conforme o usuário realiza a fisioterapia, o robô coleta, também, as medidas dos ângulos do movimento. A partir disso, a equipe de Siqueira pretende utilizar inteligência artificial para analisar os dados e tentar identificar se o paciente teve alguma evolução.

Embora o protótipo tenha sido finalizado em 2020, ainda não foram feitos testes com um número significativo de pessoas. Segundo Siqueira, a pandemia foi um dos fatores que atrapalhou o andamento do projeto.

Fonte: NEWSLAB

DEIXE UMA RESPOSTA

Por favor, digite seu comentário!
Por favor, digite seu nome aqui


CAPTCHA Image
Reload Image