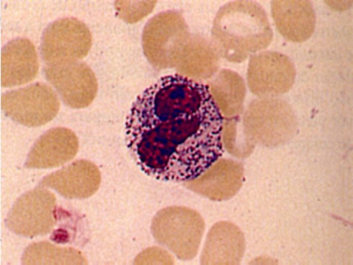
Granulações tóxicas e corpúsculos de Dohle.
Tóxicas granulation and Dohle body. @euamohematologia @biomedicina
Granulação Tóxica
Este termo é usado para descrever a presença de grânulos púrpura a azul escuro, lembrando grânulos primários em neutrófilos segmentados, bastões e metamielócitos Representam grânulos lisossomais, contêm mieloperoxidase (MPO) e apresentam atividade aumentada de fosfatase alcalina. Eles indicam um tempo de maturação reduzido e ativação do pool neutrofílico pós-mitótico. Eles são encontrados em infecções e inflamações agudas. Eles são freqüentemente associados a corpos de Dohle.
Toxic Granulation
This term is used to describe the presence of purple to dark-blue granules, resembling primary granules in segmented neutrophils, bands, and metamyelocytes .They represent lysosomal granules, contain myeloperoxidase (MPO), and show increased alkaline phosphatase activity. They indicate a shortened maturation time and activation of post-mitotic neutrophilic pool. They are found in infections and acute inflammations. They are often associated with Dohle bodies.




Fonte : Blog eu amo hematologia-www.facebook.com/search/top/?q=eu%20amo%20hematologia%20(hematology)&epa=SEARCH_BOX














