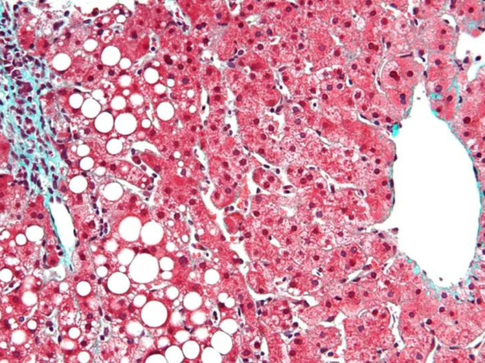
Pesquisa desenvolvida pela Faculdade de Medicina (FMUSP) mostrou que há uma associação importante entre o aumento dos níveis de ácido úrico sérico e a doença hepática gordurosa não alcoólica (DHGNA). A DHGNA é causada pelo acúmulo progressivo de gordura no fígado e não pelo consumo excessivo de álcool. Nos últimos anos, evidências clínicas sugerem que o ácido úrico elevado frequentemente está associado ao desenvolvimento ou progressão da DHGNA. Altos índices de ácido úrico podem levar ao desenvolvimento de resistência à insulina (RI).
Outro dado importante trazido pelo estudo mostra que o consumo elevado de frutose – vinda de produtos ultraprocessados – pode aumentar o risco de associação entre o ácido úrico e a DHGNA, tanto para homens quanto para mulheres.
Os resultados integram a tese de doutorado da nutricionista Clara Freiberg, defendida em janeiro de 2021. A partir desses achados, a pesquisadora sugere que a investigação prática da função hepática deva fazer parte do protocolo dos exames de rotina.
Do total da amostra estudada (10.597 pessoas), a pesquisa encontrou uma prevalência de DHGNA de 38,5% (44,9% em homens e 34% em mulheres). Quando comparados a outros países, como Estados Unidos (34%), Índia (29%) e Coreia do Sul (26%), esse número parece bem elevado.
“Quando falamos de frutose estamos nos referindo àquela industrializada, presente em alimentos ultraprocessados, e não ao consumo da fruta propriamente dita”, esclarece Clara Freiberg, nutricionista autora do estudo.
A ingestão de frutose tem sido associada à progressão da doença devido ao seu potencial de aumentar os níveis de ácido úrico no sangue. Ela está presente em muitos produtos ultraprocessados na forma de xarope de milho enriquecido com frutose. Estudos estimam que a frutose tem sua absorção aumentada em quase 30% quando associada a soluções com esse tipo de carboidrato.
Elsa-Brasil
Para realizar a pesquisa, a nutricionista utilizou os dados provenientes do Estudo Longitudinal de Saúde do Adulto (Elsa-Brasil), uma coorte (acompanhamento de longo prazo) de servidores públicos de todo o Brasil, iniciada em 2008, e que conta com cerca 15 mil participantes, com idade entre 36 e 74 anos.
A amostra final para a pesquisa foi composta de 10.597 participantes (4.309 homens e 6.288 mulheres) que preencheram os critérios para diagnóstico de DHGNA (exames antropométricos, clínicos, bioquímicos e ultrassonografia, para avaliar a presença da doença).
Todos os participantes foram classificados em quintis dos níveis de ácido úrico sérico para a análise de todas as variáveis, sendo o primeiro quintil (Q1) referente aos valores mais baixos e o último quintil (Q5) aos valores mais elevados. Quintil é o termo usado para um conjunto de dados que é dividido em cinco partes iguais.
As análises mostraram que não houve diferença entre os quintis quanto à idade, etnia e renda. Participantes com maior nível de ácido úrico apresentaram menor nível de escolaridade e maior prevalência de IMC (índice de massa corporal, calculado pelo peso da pessoa dividido pela altura dela ao quadrado). Também apresentaram mais hipertensão, diabete, níveis de enzimas do fígado altos, eram inativos fisicamente e tinham esteatose hepática de leve a grave. Além disso, possuíam maior média de circunferência da cintura, de HOMA-IR (marcador de que avalia se o paciente tem resistência à insulina), de enzimas hepáticas, colesterol total, LDL e triglicerídeos.
A circunferência da cintura deve ser tratada com atenção porque a deposição de tecido adiposo, que é a gordura localizada no abdômen, está associada ao aumento da mortalidade geral. A Organização Mundial da Saúde (OMS) recomenda que a medida da cintura não ultrapasse 102 centímetros (cm) nos homens e 88 cm nas mulheres.
Quanto ao nível de ácido úrico, 965 mulheres (15%) e 1.122 homens (26%) eram hiperuricêmicos (níveis altos de ácido úrico). Verificou-se também que 45% dos homens e 34% das mulheres apresentaram algum nível de DHGNA. A prevalência da doença hepática tendeu a aumentar à medida que se elevavam os níveis de ácido úrico sérico.
Não houve diferenças de idade, etnia e renda entre os homens com alto consumo de frutose quando comparados aos participantes normouricêmicos (com níveis normais de ácido úrico) e hiperuricêmicos.
As mulheres hiperuricêmicas com maior consumo de frutose têm chance aumentada de apresentar DHGNA. Para os homens, a chance de hiperuricêmicos com consumo elevado de frutose apresentarem a doença foi maior do que aqueles com consumo adequado de frutose. “Com esses resultados, acho importante que a investigação prática da função hepática deva fazer parte do protocolo dos exames de rotina”, sugere Clara.
Ainda de acordo com a pesquisadora, os profissionais de saúde precisam ser mais claros ao orientar os pacientes sobre o controle do sal, do açúcar e da frutose, por exemplo. “As pessoas precisam entender que altos níveis de frutose nem sempre estão associados a um consumo excessivo de frutas.”
A doença
A doença hepática gordurosa não alcoólica vem se tornando uma das principais causas de doença hepática crônica no mundo. Sobrepeso, diabete, má nutrição, perda brusca de peso e sedentarismo estão entre os fatores de risco para o aparecimento da doença.
Há evidências de que a pressão alta, resistência à insulina, níveis elevados de colesterol e triglicérides estão diretamente associados ao excesso de gordura no fígado.
A patologia geralmente é assintomática e pode atingir um estágio avançado antes de ser diagnosticada. Desconforto no quadrante superior direito, fadiga e letargia foram relatados em até 50% dos pacientes mas, muitas vezes, a DHGNA é diagnosticada após a realização de exames de rotina.
Estudos mostram que, entre os pacientes com esteatose hepática simples, 12% a 40% desenvolverão NASH (forma mais avançada da doença hepática gordurosa não alcoólica) com fibrose precoce após oito a 13 anos. Desses, aproximadamente 15% desenvolverão cirrose e/ou evidência de descompensação hepática no mesmo período. Cerca de 7% das pessoas com cirrose compensada associada à DHGNA vão evoluir para câncer no fígado dentro de dez anos, enquanto 50% exigirão um transplante ou morrerão de causa relacionada ao fígado.
Jovens e adolescentes na mira
Clara contou ao Jornal da USP que o trabalho dela abriu várias outras possibilidades de estudo. “Minha população estudada foi de adultos e idosos, mas seria importante avaliar o consumo de frutose em crianças e adolescentes”, explica. “A oferta de ultraprocessados é enorme para esse público. Na cantina da escola, por exemplo, refrigerante e água têm o mesmo preço.”
Outro exemplo seria o acompanhamento mais próximo da dieta de alguns pacientes para verificar se há a mesma resposta clínica.
O Elsa-Brasil é um estudo iniciado em 2008, que investiga, na população brasileira, a incidência e fatores de risco para doenças crônicas, em particular, as cardiovasculares (acidente vascular cerebral, hipertensão, arteriosclerose, infarto, entre outras) e doenças associadas. São 15 mil participantes, de várias regiões do País, com idade entre 35 e 74 anos. No próximo mês de agosto eles serão novamente convocados para entrevistas e exames que identifiquem uma possível evolução dos fatores de risco para essas doenças – que são consideradas a principal causa de mortalidade no Brasil e no mundo.
Fonte: NEWSLAB














